;


Smile Gallery

Case 1

Diastema closure are unesthetic spaces between two teeth. It can be closed by composite build-up.

PRE-OPERATIVE

POST-OPERATIVE

Case 2

Broken teeth in accidents can be buid-up again using composites within first sitting.                           

PRE-OPERATIVE

POST-OPERATIVE

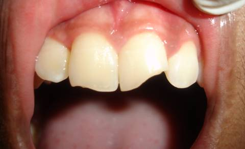
Case 3

Broken teeth in accidents can be buid-up again using composites within first sitting.

PRE-OPERATIVE

POST-OPERATIVE

Case 4

Unesthetic front teeth can be cosmetically improved with the help of ceramic laminates

PRE-OPERATIVE

POST-OPERATIVE

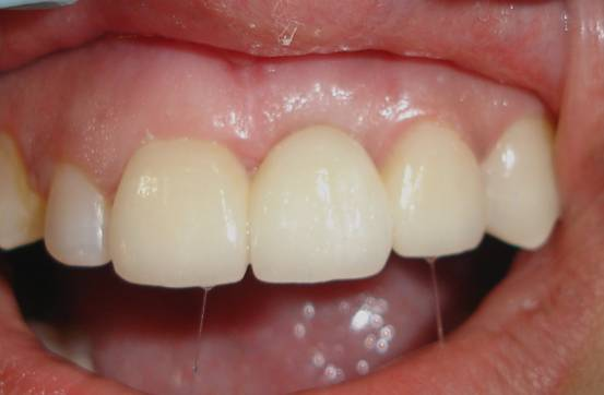
Case 5

Badly broken down teeth can be again rebuild and restored to normal look and function with the help of crowns. There is no need to extract even badly decayed teeth if gum condition around them is healthy.

PRE-OPERATIVE

POST-OPERATIVE

Case 6

Teeth become mobile when the bone and the gums surrounding them is lost due to gum diseases and poor oral care. These teeth can now be made firm again by splinting them together using strong fibers which are not visible to anyone.

PRE-OPERATIVE

POST-OPERATIVE

Case 7

Teeth lost due to accidents can be treated with all-ceramic bridges which look as natural as following.

PRE-OPERATIVE

POST-OPERATIVE


Case 8

Smile Designing- This patient’s smile was unaesthetic because of no show of upper teeth while smiling. The smile is improved by proper planning and giving crowns to the upper teeth.

PRE-OPERATIVE

POST-OPERATIVE


Case 9

Malformed teeth can be reshaped to mare natural look with the help of composites.                              

PRE-OPERATIVE

POST-OPERATIVE

Case 10

Smile Designing- This patient’s smile was unaesthetic because of badly broken teeth while smiling. The smile is improved by proper planning and giving crowns to the upper teeth.

PRE-OPERATIVE

POST-OPERATIVE